The most important factor you should look out for while getting dentures is to ensure that they fit perfectly. People use dentures when they have lost their natural teeth to trauma, disease, age, or accidents. It helps them regain their natural facial aesthetics and smile. They help in speech, because missing teeth cause phonetical problems, and they also help chew food. That is why if your teeth are missing, you’d better opt for a good set of dentures. Warrenton in northern Virginia may be a small town, but it’s growing rapidly. Urban services like dentists and healthcare is developing rather well in such areas.
A dentist suggests both dentures and root canals or dental implantation according to the extent of teeth loss and stability of the patient. People often ask why they have been suggested dentures, when other people have lost a tooth and got a root canal done. Well, dental implants are permanent, but they are a surgical procedure. The post operative cautions and pains will hamper your regular life to quite a degree.
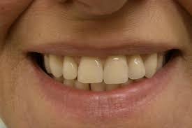
Besides the factor of post operative hassles, root canals cannot be done in too many locations. The pain of one root canal will be immense. Can you imagine multiple surgeries? That is why when people have lost multiple teeth, they are suggested a good pair of dentures. These aren’t the ancient ones you’ve seen on your grandfather; the modern dentures are much better. They won’t slip off and cause any embarrassment, or shift in your mouth and cause you discomfort. They fit rather snugly, and are not noticeable at all.
A root canal may be permanent, but you also need to look at the state of your oral health over all before doing a root canal. If you mandible or gum is weak, or has some disease, no good dentist will risk a root canal. A weak mouth cannot recover fully from an implant job, and the patient will in fact be more miserable than he or she was before the surgery.
Like any other kind of prosthetics, dentures are not permanent. They can be taken off when you go to sleep or feel like you’re carrying them around too long. They give your mouth back its aesthetics without causing you any discomfort, or costing much. A permanent implant would cost you quite a lump sum, while at a fraction of the cost, you can get the best possible dentures. Warrenton residents can choose from a number of great new dental clinics in the area where they make excellent dentures.
Dentures Warrenton – There is nothing better to regain confidence after losing teeth than dentures. Warrenton residents prefer to visit Gainesville Dental Association for their oral health and for family check ups.



